- 01多模态数据的配准
- 02病灶/部位分割与量化
- 03病灶良恶性鉴别与疾病分级
- 04病灶类型鉴别
- 05病灶/部位检测与定位
01 / 05
多模态数据的配准
支持同一部位或器官的 CT、MRI、PET 等多模态数据的配准,实现不同模态或不同序列数据之间精确的图像融合,从而能够更精准地对病灶进行定性分级或定量分析。
02 / 05
病灶/部位分割与量化
支持基于小样本精细医学数据标注进行训练,实现多种病灶、器官等的像素级精确边界分割,并自动进行关键信息的量化分析,例如放疗靶区勾画、骨盆肿瘤分割等,将医生从耗时耗力的人工手动勾画中解放,满足量化诊断、手术个性化规划等场景的需求。
03 / 05
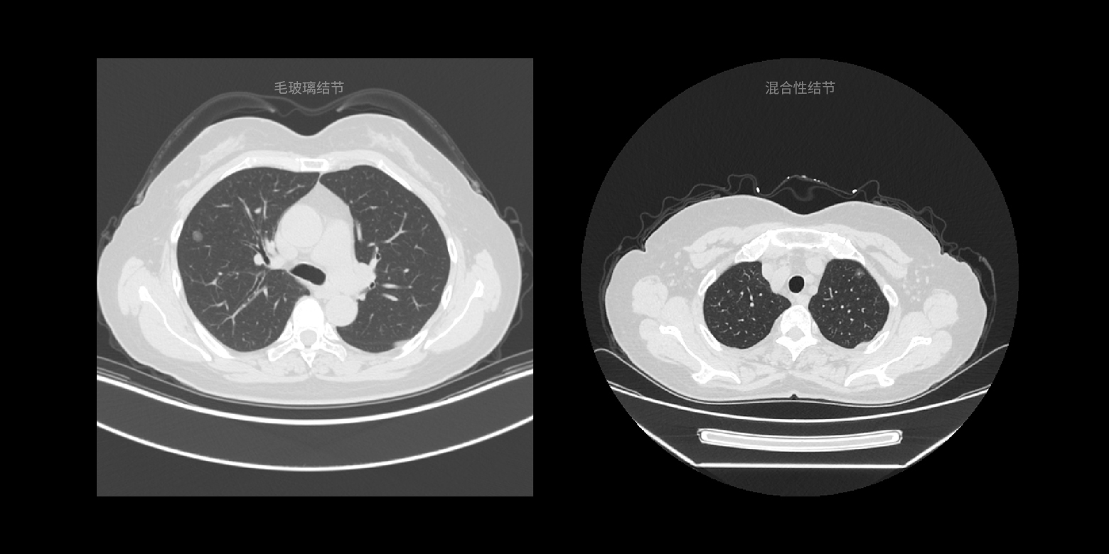
病灶良恶性鉴别与疾病分级
基于对复杂医学诊断要素的学习,支持多种病灶的良恶性鉴别或病情分级,例如十字韧带撕裂分级、肺结节良恶性鉴别等,满足疾病大范围筛查、分级诊疗等多种场景需求。
04 / 05
病灶类型鉴别
结合国际通用的诊断指南以及顶级医生的诊断经验,对临床诊断起到关键作用的病灶类型进行快速鉴别,降低相似病灶的误诊概率。
05 / 05
病灶/部位检测与定位
基于领先的计算机视觉技术,对 CT、MRI、病理等多种模态医学图像中的多种疾病病灶或部位进行快速检测与定位,例如基于 MRI/CT 影像的椎间盘及椎骨的定位、基于 CT 影像的肺结节检测与定位、基于病理图像的细胞检测与定位等,为医生提供诊断参考,提高诊断效率。
- 多模态数据的配准
- 病灶/部位分割与量化
- 病灶良恶性鉴别与疾病分级
- 病灶类型鉴别
- 病灶/部位检测与定位
01 / 05
多模态数据的配准
支持同一部位或器官的 CT、MRI、PET 等多模态数据的配准,实现不同模态或不同序列数据之间精确的图像融合,从而能够更精准地对病灶进行定性分级或定量分析。
02 / 05
病灶/部位分割与量化
支持基于小样本精细医学数据标注进行训练,实现多种病灶、器官等的像素级精确边界分割,并自动进行关键信息的量化分析,例如放疗靶区勾画、骨盆肿瘤分割等,将医生从耗时耗力的人工手动勾画中解放,满足量化诊断、手术个性化规划等场景的需求。
03 / 05
病灶良恶性鉴别与疾病分级
基于对复杂医学诊断要素的学习,支持多种病灶的良恶性鉴别或病情分级,例如十字韧带撕裂分级、肺结节良恶性鉴别等,满足疾病大范围筛查、分级诊疗等多种场景需求。
04 / 05
病灶类型鉴别
结合国际通用的诊断指南以及顶级医生的诊断经验,对临床诊断起到关键作用的病灶类型进行快速鉴别,降低相似病灶的误诊概率。
05 / 05
病灶/部位检测与定位
基于领先的计算机视觉技术,对 CT、MRI、病理等多种模态医学图像中的多种疾病病灶或部位进行快速检测与定位,例如基于 MRI/CT 影像的椎间盘及椎骨的定位、基于 CT 影像的肺结节检测与定位、基于病理图像的细胞检测与定位等,为医生提供诊断参考,提高诊断效率。





返回
